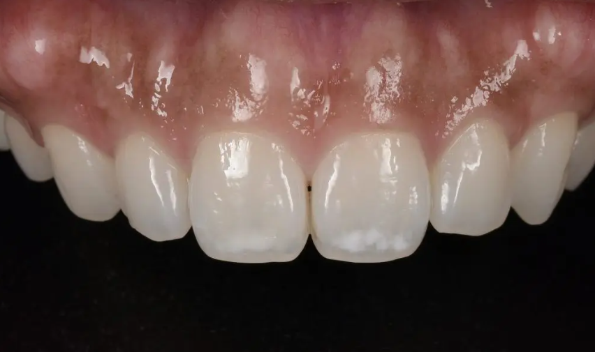
ホワイトスポット(白斑)の治療(歯の白いシミ)

歯が生えてくる時に虫歯になりかけて、エナメル質内で虫歯菌が出す酸に溶かされた状態(エナメル質形成不全の場合もございます)で、ガラスに例えればすりガラス状になっている状態の歯をほぼ削ることなく、元の状態に戻します。

1本1回につき18,000円(同時治療で追加する場合には1本につき10、000円加算されます)。2026年3月までの価格です。それ以降は、約1.5倍になります。