ホノルルホワイトニング認定歯科医院です。
「ホノルルホワイトニング」はオフィスホワイトニングです。このホワイトニングは、セルフホワイトニングになりますので、オフィスホワイトニングとしましては比較的安価に提供することができます。当初は、歯科医が付き添って行いますのでご安心下さいませ。
通常、ホワイトニングには過酸化尿素が使用されることが多いですが、当システムではより効果の高い高濃度の過酸化水素を使用しており漂白効果が得られます。また、ペンシルタイプで確実にマニュキュアの様に塗布することができます。また、痛みを抑える薬剤が入っております。
※過酸化尿素30%より過酸化水素10%の方が漂白濃度が高いです。
過酸化水素は、再石灰化を促しますので虫歯予防効果が高く、殺菌効果もありますので歯周病予防効果もございます。
痛くなければ毎日のように頻度を上げて来院していただければより早く白くなります。週に1.2回しか来れない方は、オフィスホワイトニングは、急激に白くなりますので色の「後戻り」が起こりますので後述する「プロホワイトニングジェル」をご利用下さい。

1シリンジで6回分使用量があります。かなりの高濃度の薬剤となりますので、当院での保管となります。

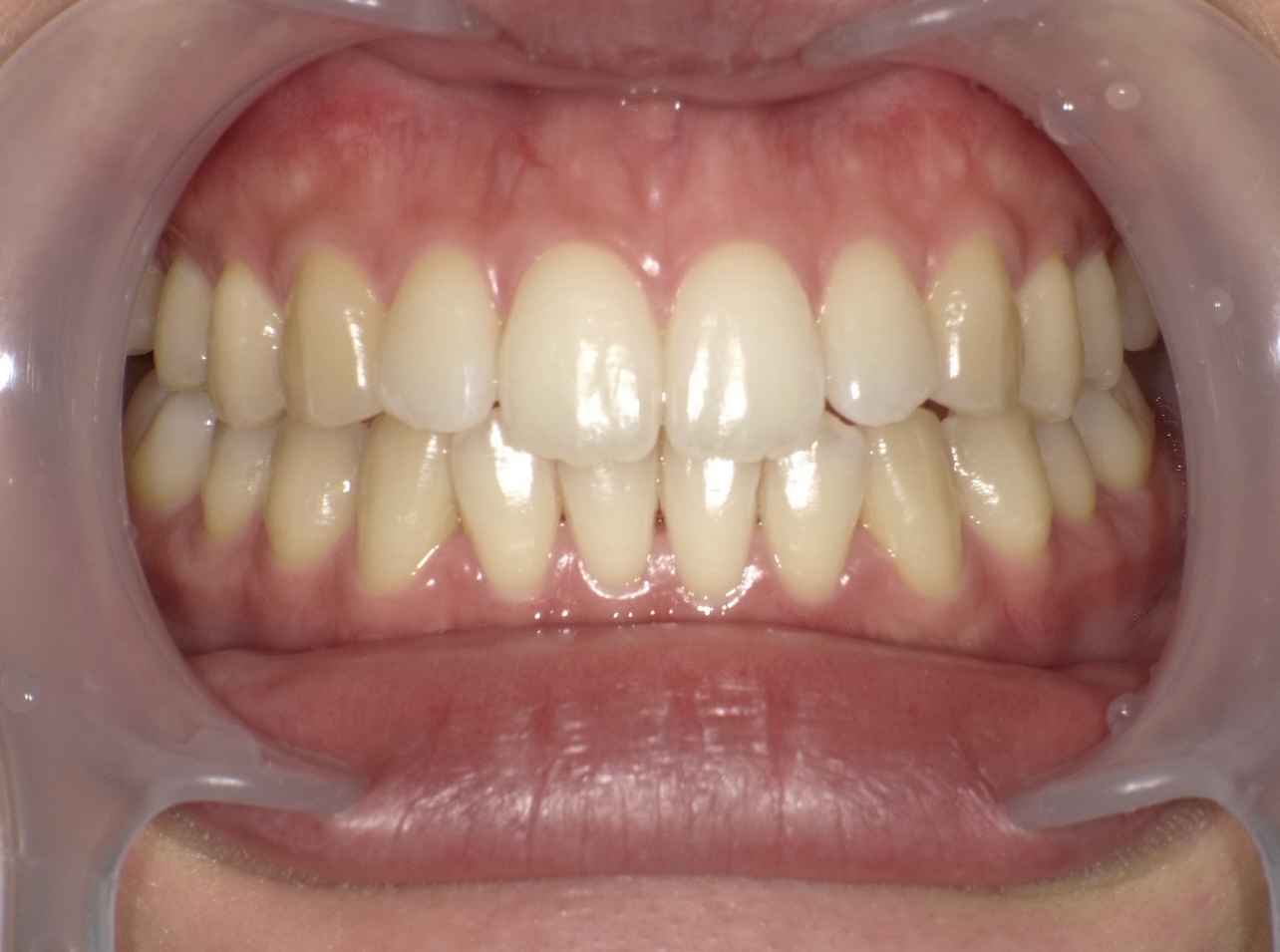
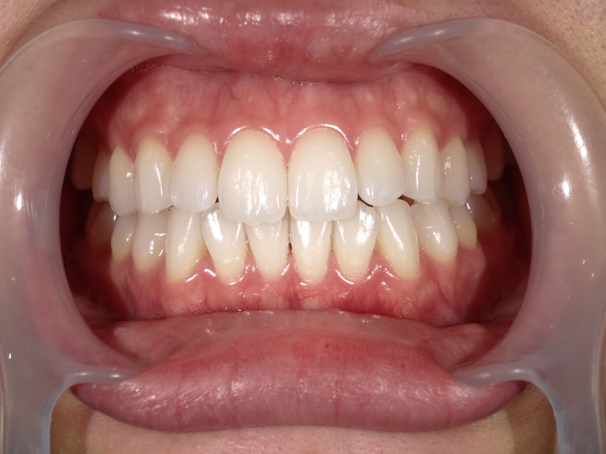
写真の合成等一切行っておりません。さらに白くされたい方はご相談くださいませ。
費用(回数での単位となります)
このチラシの症例写真は12回行ったものです。患者様に実感していただくには、2回必要となりますので、先着順で20名様まで2回で8,800円(税込)でお試し提供させて頂きます。
※値上げにより、プロホワイトニングジェル(税込8、500円)・NBベリーホワイト(税込3、100円)・NBトゥースペースト(税込3,300円)、色戻り防止セット(税込14,900円)になります。(ほぼ原価です)。
ホワイトニング用歯磨き粉
①ベリーホワイト 税込3.100円(すいません。値上げになりました)
ホワイトニング前に必ず使用いたします。ph値を高くしアルカリ環境にすることにより付着したたんぱく質を溶かし色素が取れやすくなる状況にします。ホワイトニングの必須アイテムになります。使用頻度は1日1回のみ、できれば寝る前にメイク落としの感覚でご利用ください。
なお、口臭予防成分(シクロデキストリン)、特にたばこを吸われる方やコーヒーをよく飲まれる方の着色除去にも有効です。その場合は週に2.3回で大丈夫です。
②トゥースペースト 税込3,300円(すいません。値上げになりました)
漂白したての歯は着色もしやすいので、ミネラルで保護してつや出しさせる歯磨き粉です。フッソと同様にミネラルで保護することにより虫歯予防にもなります。
また、漂白後の知覚過敏の症状を軽減させる効果もございます。一番重要なのは、漂白したての歯をヒドロキシアパタイトではの表面の強化保護をすることで必須です。
③プロホワイトニングジェル 税込8,500円(すいません。値上げになりました)
過酸化水素6%が入ったジェルです。よって、ホワイトニング効果がございます。ご自宅で歯を磨くときはグリーンピース大を歯刷子につけ、同量をベリーホワイト及びトゥースペーストをつけてご利用ください。オフィスホワイトニングは、急激に白くなる分後戻りの危険性が高くなります。毎日の用に通院できれば良いのですが、週1.2回の通院の場合は必須となります。このジェルがないと目標の白さになりません。
s